June Special Offer: All-on-4 Dental Implants for Only $21,499!

Transform your smile with the life-changing All-on-4 dental implant solution – now at a limited-time price of $21,499 (regularly valued at $23,000). Book your consultation in June to secure this offer!
What’s Included in the Offer:
- Comprehensive consultation and treatment planning
- 3D CBCT scan
- Removal of remaining teeth (if necessary)
- 4 or more Nobel Biocare dental implants (per arch)
- Fixed Malo acrylic hybrid prosthesis (upper OR lower arch)
- Sedation options available (At additional cost)
- Follow-up and aftercare visits
Smile Transformation in Just 4 Appointments
Your New Smile in Only 4 Visits
Use Your Super to Cover Costs
Access Your Super to Help Pay
Zero Deposit, Flexible Payment Plans
No Upfront Cost, Easy Payment Options
FREE All-On-4® Consultation Package
Includes:
✅ Personalised Implant Consultation
✅ 3D Cone Beam Scan
✅ Personalised Treatment Plan with Savings
*Terms & Eligibility Apply
Discover if you’re eligible for All-On-4® – no-obligation consult, book now.
What to Expect from Your No-Cost All-On-4® Consultation
Your Smile, Reimagined.
Imagine the smile you’ve always wanted — with the right plan and expert care, we’ll help bring that vision to life.





Save on Your New Smile
Contact us now for your FREE NovaDenture All-On-4® Implant Consultation!
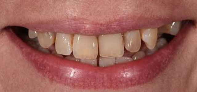
A Smile You Will Love Every Day
Stop hiding your smile - and start feeling confident every day.
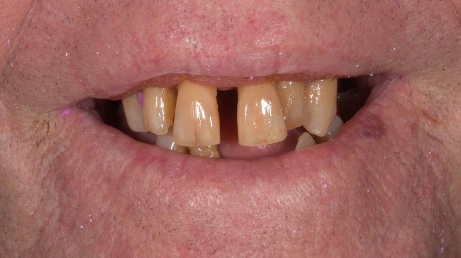
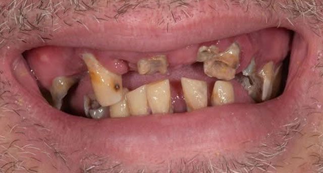
Missing Teeth or Loose Dentures? It Goes Beyond Your Smile
Missing teeth or unstable dentures can affect much more than how you look. They can make eating difficult, cause daily discomfort, and chip away at your confidence in social situations. Over time, these issues have a serious impact on your overall health and wellbeing.
There’s a Proven Solution
All-On-4 dental implants provide a fixed, full-arch solution that looks and functions like natural teeth — restoring your confidence and bite. With four or more titanium implants securing a durable prosthesis, you can eat, smile, and speak without worry. At your free consultation, we’ll assess your needs and develop a personalised smile restoration plan.
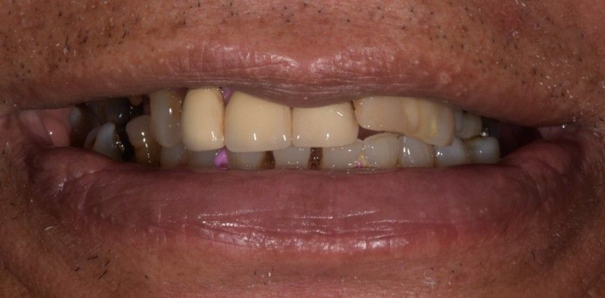
All-On-4 Implants Can Replace Different Types of Missing Teeth
All-On-4 dental implants restore all types of teeth, giving you a full, natural-looking smile that works as well as it look.
Your Journey to a Confident Smile in 4 Clear Stages
Let us take you through the 4 stages of your smile transformation.
01
Free All-On-4 Consultation
Free All-On-4 Consultation
Your journey begins with a detailed smile assessment, advanced 3D imaging, and a tailored treatment plan from our All-On-4 team.
02
Advanced 3D Imaging
We use advanced 3D imaging to plan your All-On-4 procedure, ensuring precise implant placement, functionality, and complete comfort.
03
All-On-4 Placement Process
Our experienced team places your All-On-4 implants using advanced techniques that minimise discomfort and deliver precise placement for comfortable, long-term results
04
Your New Smile Revealed
After your All-On-4 implants are securely placed, we’ll attach your custom-made teeth — giving you a natural-looking, permanent smile you’ll love to share.
Flexible Options for Your Smile Transformation
Starting your All-On-4 journey is simpler than you’d expect. With flexible payment options to suit your budget, restoring your smile — and your confidence — is closer than you think.
Affordable weekly payment plans
Interest-free options available
Fast approval on payment plans
Support with accessing Superannuation
Rebates from private health funds
At your free consultation, we’ll find the right financial option for you.
5 Reasons Our Patients Choose NovaDenture for Their New Smile
See why patients choose NovaDenture for All-On-4 — and experience the confidence that comes with a life-changing smile
We Help You Access Super for All-On-4
Don’t let cost hold you back. We guide you through the Super application process, making it easier to access funds for your All-On-4 treatment.
Real People. Life-Changing Smiles.
Now it’s your turn to join the hundreds of happy patients who have reclaimed their smile, restored their confidence, and enjoy a better quality of life with All-On-4 implants.
New Teeth in Just One Day
Your All-On-4 implants and fixed temporary teeth can be placed in just one day — so you can leave with a confident new smile, the same day.
20+ Years of Combined Expertise
With over 20 years of combined experience, our All-On-4 dentists have the skills to guide you through every step of your smile transformation
Advanced Technology for Exceptional Results
We use next-gen 3D scans and computer guided implant technology to deliver reliable, long-lasting outcomes with All-On-4 treatment.
Make Your New Smile Affordable
Contact us now for your FREE NovaDenture All-On-4® Implant Consultation!
The Smile You’ve Been Waiting For Is Closer Than You Think
Start your journey to a brighter, more confident smile—book your free consultation today.
Email Us at
NovaDenture Clayton Clinic
1762 Dandenong Road, Clayton, Melbourne
130 Nepean Hwy, Aspendale, 3195
Call Now!
NovaDenture All-on-4 Dental Implants: Patient FAQ Guide
All-on-4 Dental Implants: Frequently Asked Questions.
1. What are All-on-4 dental implants?
All-on-4 is a modern treatment that uses just four strong implants to support a full set of new teeth. These teeth are fixed in place, so you don’t have to worry about loose dentures or taking your teeth out at night.
2. How is All-on-4 different from traditional dentures?
Unlike dentures, All-on-4 teeth are permanent and stable. You can eat, talk, and smile without worrying about your teeth moving or falling out. Cleaning is easy, and you’ll feel like you have your own natural teeth again.
3. Can I eat normally with All-on-4 implants?
Yes! Once you’ve healed, you’ll be able to enjoy most foods, including steak, apples, and crusty bread. Your new teeth are strong and secure, so you can eat with confidence.
4. Am I suitable for All-on-4 implants?
Most people missing many or all of their teeth, or those unhappy with dentures, are good candidates. We offer a free consultation to assess your needs and see if All-on-4 is right for you.
5. Do I need bone grafting for All-on-4?
Usually not. All-on-4 is designed to work for people who may not have enough bone for traditional implants, so most patients can avoid extra bone grafting procedures.
6. Will I be asleep during the procedure?
You can choose to have the procedure under sedation or general anaesthetic, so you’ll be comfortable and pain-free. We’ll discuss the best option for you during your consultation.
7. How long is the recovery?
Most people have some swelling and discomfort for a few days. You’ll get a set of temporary teeth on the same day as your surgery, so you can leave with a new smile right away. Most patients return to normal activities within a week.
8. How much do All-on-4 implants cost?
At NovaDenture, the cost for an upper or lower arch is around $23,000. Sedation or general anaesthetic may incur additional fees. We’ll give you a clear quote at your free consultation.
9. Are there payment plans or superannuation options?
Yes! We offer flexible payment plans to help make treatment affordable. You may also be able to use your superannuation to pay for dental implants if you are eligle—we can guide you through the process.
10. How successful are All-on-4 implants?
All-on-4 is a proven treatment with a high success rate. With good care, your new teeth can last many years—often decades.
11. How long do All-on-4 implants last?
The implants themselves can last a lifetime with proper care. The teeth attached to them may need replacement after 10–15 years, depending on wear and tear.
12. How quickly will I get my new teeth?
You’ll receive a set of temporary teeth within 24 hours of your surgery. After a few months of healing, we’ll fit your final, custom-made teeth.
13. Can I go back to work after the procedure?
Most people take a few days off to rest, but you can usually return to light work within a week. We’ll give you personalised advice based on your job and recovery.
14. How do I book a consultation?
Booking is easy!
• Call us at (03) 9702 5206
• Visit novadenture.com.au and fill out our online enquiry form
• Drop into our Aspendale or Clayton clinics
Our friendly team is ready to help you start your journey to a confident, new smile.
Ready to restore your smile? Book your FREE consultation with NovaDenture today!















